科技日报实习记者 张添福 记者 王菲
记者5日从青海大学省部共建三江源生态与高原农牧业国家重点实验室获悉,该实验室研究人员从多器官/组织角度揭示了虹鳟适应慢性高温应激新机制。据悉,在慢性热应激下,虹鳟通过加速肝脏糖原分解、对抗肠道炎症和重塑鳃结构来应对高温,但这一过程会导致鱼体肝功能受损和肠道消化能力下降。

青海大学省部共建三江源生态与高原农牧业国家重点实验室教授马睿表示,慢性热应激下虹鳟的适应机制研究,为冷水性鱼类抗高温饲料的开发奠定基础。以上研究成果日前发表在农林科学领域国际TOP期刊《Aquaculture》上。
虹鳟是典型的冷水性鱼类,具有极佳的养殖经济性。但虹鳟对温度的变化十分敏感,生长最适宜温度为16℃至18℃,当水温超过20℃时,虹鳟的摄食量就会减少、生长速度放缓;当水温达到24℃左右,虹鳟生长停滞、免疫力下降,鱼体开始死亡。
近年来,随着温室效应的增强以及高温极端天气频繁发生,区域性长期的高温胁迫导致养殖虹鳟出现生产性能下降和死亡率增高的突出问题。
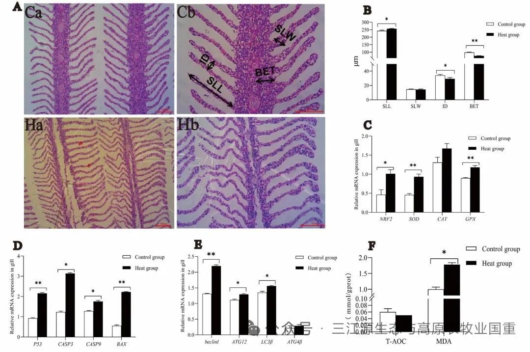
该实验室研究人员孙国梁介绍,本次研究设置了慢性热应激组(19.21±0.05°C)和对照组(15.13±0.07°C),并开展为期31天的饲养试验。
研究结果显示,在慢性热应激条件下,虹鳟的体重增长率、饲料摄入量显著降低,饲料转化率(FCR)显著升高,但两组间的存活率无显著差异。热应激组虹鳟肝脏中抗氧化相关基因(如Nrf2和CAT)的表达显著上调,氧化应激指标(MDA)和肝损伤指标(血浆ALT和AST水平)显著升高,表明虹鳟在慢性热应激下启动抗氧化防御机制,但肝脏仍然出现氧化损伤。
此外,慢性热应激还导致虹鳟鳃组织形态发生重塑,次级鳃小片长度增加,鳃丝间距和基部上皮厚度减小。鳃组织中自噬和凋亡相关基因的表达显著上调,表明鳃组织在热应激下发生了适应性重塑。