
科技日报记者 刘霞
美国华盛顿大学医学院科学家发现,激活一种起源于大脑的特定神经通路,能快速减少小鼠全身脂肪,且无需限制饮食。相关论文发表于新一期《自然·代谢》杂志。
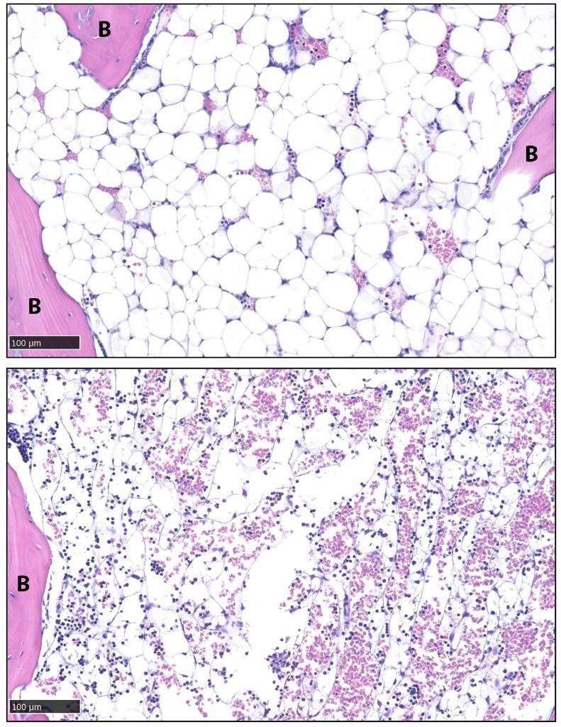
研究聚焦于骨骼中一类特殊的脂肪细胞——组成性骨髓脂肪细胞。人体约70%的骨髓被脂肪填充,这类脂肪对节食或运动几乎毫无反应。
研究发现,这类特殊细胞会高水平表达一种抑制脂肪分解的蛋白,因而形成稳定的脂肪储存库,难以被常规方式消耗。团队将其称为“稳定的脂肪细胞”。
实验中,团队通过持续向小鼠脑内注射瘦素,模拟出低血糖和低胰岛素状态,成功“消解”了这些稳定的脂肪细胞。此举削弱了脂肪分解的抑制机制,使小鼠在正常进食的情况下,全身脂肪在短短数日内显著减少,甚至完全消失。
不过,团队提醒这一机制极为强大,在未充分了解其风险前,不可用于人类。稳定的脂肪细胞广泛存在于骨髓、手脚及重要腺体周围,在严重消耗性疾病(如癌症恶病质)中,这类脂肪的流失常伴随骨折风险上升和生活质量下降。
未来,团队希望借此机制反向探索。一方面,防止重症患者稳定的脂肪细胞过度流失,保护其健康;另一方面,开发激活这类顽固脂肪分解的新方法,为肥胖治疗带来全新可能。